10月10日凌晨2点,42岁的曾某突发剧烈胸痛、肩背放射痛,但因其间歇性胸痛半年有余,此次发病曾某以为似平常发病未予重视,直到凌晨6点疼痛持续不减,于是驱车前往医院就诊。
娄底市第二人民医院急诊接诊后即刻完善心电图,初步诊断为:冠心病 急性下壁、右室、后壁ST段抬高型心肌梗死。该院快速启动胸痛救治绿色通道,二病室(心血管内科)、介入室、急诊科相关科室紧密联动,二病室主任、主任医师王燎,二病室副主任、副主任医师刘鹏程,介入导管室负责人、主治医师苏仕铜即刻就位。10分钟内曾某进入介入导管室。
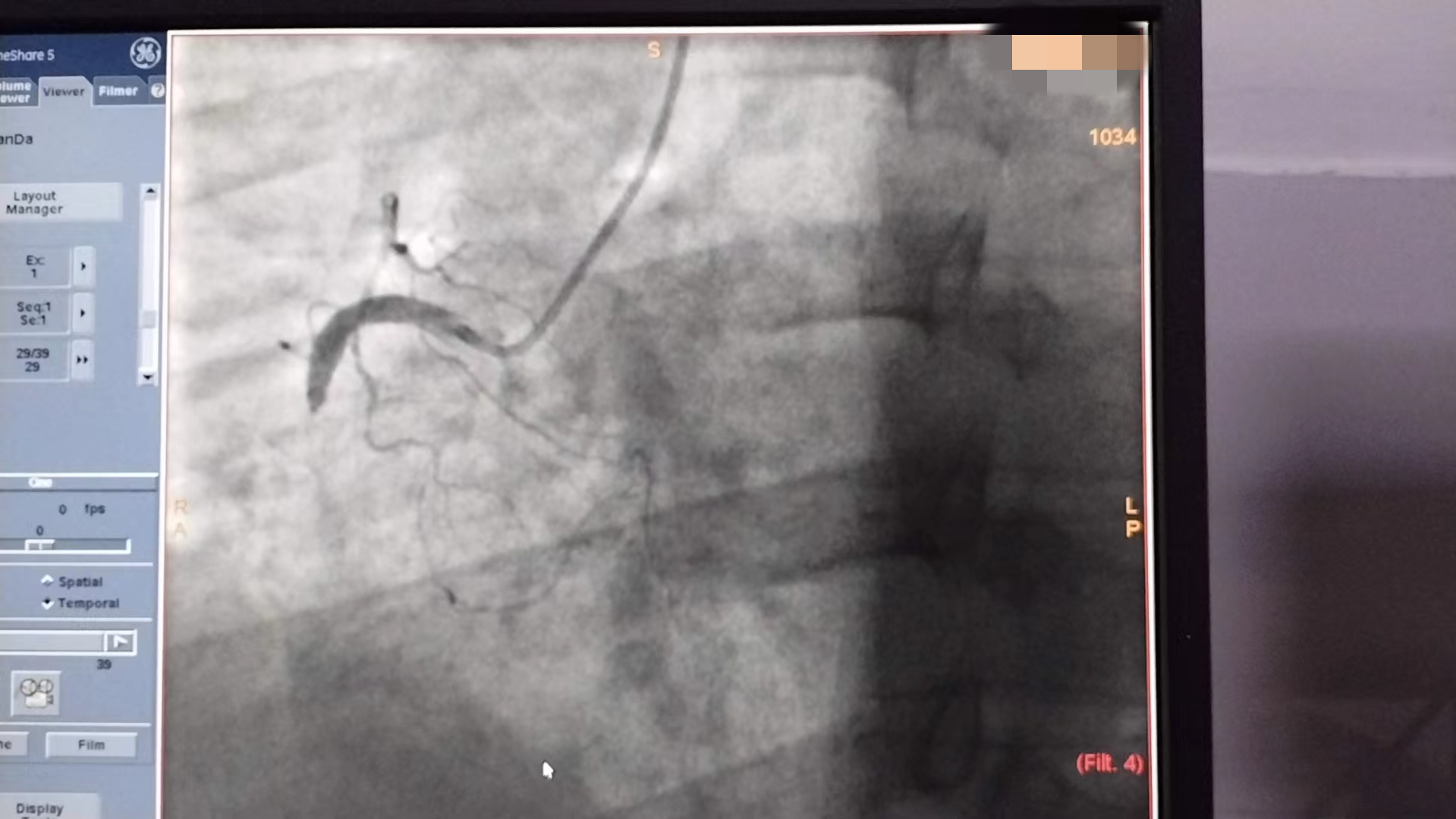
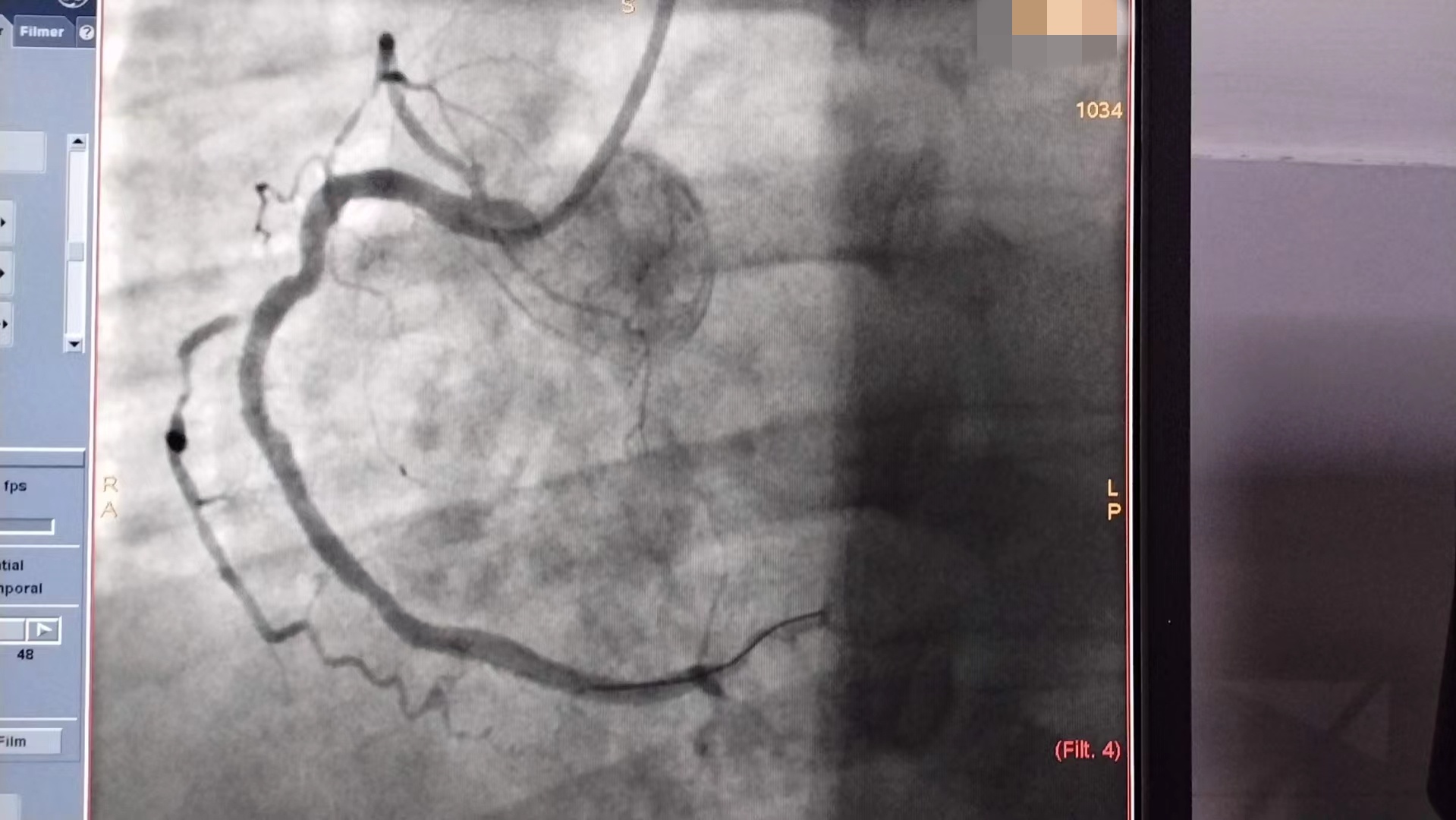
冠脉造影提示曾某右冠、前降支中段完全堵塞,病情相当危重,手术风险高,娄底市第二人民医院介入手术团队在曾某的充分信任和队员们的密切配合下,于90分钟内予以导丝通过闭塞血管、完成血运重建,至上午9点整顺利完成冠脉支架置入手术。术后曾某恢复良好。

术前

术后
近年来,急性心梗的发病年龄日趋年轻化,年纪轻轻已患有高脂血症、糖尿病、高血压、肥胖症,主要与年轻人吸烟、喜食不健康食品、缺乏运动锻炼、熬夜等不良饮食结构和生活方式有关。当前正值天气变化,特别是秋分后昼夜温差加大,气温下降,特别是寒冷空气的刺激,会导致血管收缩,增加心脏负担,引起血压升高和血管阻塞,增加心脑血管疾病的发生风险。另外,心梗发生之前会有不稳定的心绞痛期,可能伴有出现胸痛、胸闷、出汗、恶心等症状,有时还会出现腹痛疼、牙疼、嗓子疼等不典型症状,这些症状往往容易被忽视。王燎主任呼吁年轻人要将预防措施前移,尽早关注血管健康,重点控制引起心梗的危险因素,降低心血管事件风险。
娄底市第二人民医院订阅号
娄底市第二人民医院